
Sciences of Pharmacy
Journal Key Facts
Publishing Fee (APC)
IDR 1,100,000
Open Access License
CC BY 4.0
Language
English

Publishing Fee (APC)
IDR 1,100,000
Open Access License
CC BY 4.0
Language
English
Showing 8 Articles

Sondang Khairani, Hesty Utami Ramadaniati, Prih Sarnianto, Erna Kristin, Yusi Anggriani
Several pharmaceutical companies have long complained that the price of medicines that win the e-catalogue tender is too low, in some cases even below the cost of production. However, it should not be a concern that only pharmaceutical products with regulation of Indonesian food and drug (BPOM) distribution licenses are eligible for the price tender, as they are of good quality. This study aims to determine the quality and potency of three antibiotic drugs based on their highest utilization (DU 90%) in pneumonia patients at two hospitals, A (ceftriaxone, azithromycin tablet) and B (ceftriaxone, levofloxacin infusion) compared to brand name. The quality of the samples was evaluated following the Indonesian Pharmacopoeia 6th Edition (FI-VI). Antibiotic potency was assessed using the Plate-Cylinder Method with K. pneumonia from human and S. pneumonia ATCC 10015 as the test bacteria evaluated following CLSI. All samples meet the criteria of FI-VI antibiotic content, weight uniformity, dissolution. Antibiotic potency all samples test S.pneumonia and K.pneumonia were sensitive but ceftriaxone test with K.pneumonia was resistance. All antibiotic tablets and injections studied met the requirements of the Indonesian Pharmacopoeia Edition 6 for active medicinal ingredient content, dosage weight uniformity, and dissolution. All drugs from hospitals (INN) have lower antibiotic potency than branded drugs. This highlight the importance of conducting microbiological testing on antibiotic preparations.
Sciences of Pharmacy

Fidelia Chikaodili Okoben, InnocentMary Ifedibaluchukwu Ejiofor, Ikechukwu Sonn Mbagwu, Daniel Lotanna Ajaghaku, Fredrick Chinedu Anowi
Splenomegaly is a medical condition characterized by an enlargement of the spleen, an organ located in the upper left part of the abdomen, beneath the ribcage. The spleen plays various essential roles in the body, including filtering blood, removing old or damaged blood cells, and helping the immune system by producing and storing immune cells. Splenomegaly causes negative haematological effects. It is very common in Africa and Asia. The aim of this study is to investigate the effect of methanol leaf extract and fractions of Irvingia gabonensis on haematological parameters in splenomegaly-induced Wistar rats. Extraction and fractionation of the plant were carried out through standard procedure using methanol, hexane, butanol and ethyl acetate. A qualitative phytochemical evaluation of the plant was done. The effects of the extract and fractions of Irvingia gabonensis were investigated using a rat model. The presence of various phytochemicals like alkaloids, flavonoids, steroids, terpenoids, and tannins was observed in the extract and fractions of the plant. The methanolic extract and ethylacetate fraction significantly caused the normalization of PCV, HB, and RBC post-treatment. The findings from this study suggest that Irvingia gabonensis could be researched further for the management of splenomegaly and also the isolation of phytochemicals responsible for these effects.
Sciences of Pharmacy

Niluh Puspita Dewi, Syafika Alaydrus, Widya Ayu Lestari, Magfirah Magfirah, Indah Kurnia Utami, Nani Astria Polontalo, Muthmainah Tuldjanah
The study focused on analyzing the secondary metabolites present in the ethanol extract of Sonchus arvensis L. leaves (SALEE) and their impact on creatinine and urea levels when administered in suspension form at different doses. Phytochemical screening of SALEE identified alkaloids, flavonoids, phenols, saponins, and tannins. In the experiment, twenty-five white male rats were divided into five groups: a healthy control group (Group I), a negative control group (Group II), and three test groups (Groups III, IV, and V) receiving SALEE at doses of 200, 300, and 400 mg/kg BW, respectively. After inducing diabetes with streptozotocin and a 21-day follow-up period, creatinine and urea levels were assessed. The results demonstrated that SALEE administration significantly reduced creatinine levels and increased urea levels. Notably, the 200 mg/kg BW dose of SALEE exhibited a consistent and long-term effect. It was observed that blood urea levels fluctuated even in healthy and negative control groups during the 21-day observation period. In the group receiving the highest dose of SALEE (400 mg/kg BW), blood urea levels increased significantly on days 14 and 21, indicating a potential increase in the rats' appetite rather than renal function failure. Overall, the findings suggest that SALEE has promising potential to regulate creatinine and urea levels in the blood of individuals with diabetes, highlighting its potential for therapeutic and supplemental use.
Sciences of Pharmacy

Md. Khokon Miah Akanda, Razia Sultana, Md. Masud Rana, Md. Alamgir Hossain, S. M. Abdul Barik, Md. Rafiul Islam, Md. Nazmul Islam, G.M. Masud Parvez
In Bangladesh, fungus-related skin diseases are highly prevalent. Until this result began, there was no research in Bangladesh to find the cause and management strategies for fungal infection, but there is still no complete research on it. This survey aimed to evaluate the incidence, etiology, and therapeutic alternatives for various fungal ailments in Bangladesh. The research was carried out in Rajshahi from January to June 2019 by the Pharmacy Department of Varendra University. A compilation of 489 patient data was obtained throughout the investigation using a semi-structured questionnaire. The participants' ages vary from three months to seventy years; 327 are male, and 162 are female. The most prevalent skin conditions among the patients are as follows: ringworm (11.25%), skin infections affecting the ear, nose, fingers, and uterus (11.04%), acne (8.19%), allergy (9.82%), dandruff (5.11%), dermatitis (9.00%), eczema (5.73%), and scabies (7.18%). Student individuals comprise 49.28% of the patients, day workers 16.56%, housewives 16.36%, and employed 14.31%. Patients are housed in 53.17 percent concrete houses, 26.5 percent huts, and 26.18% semi-structures. Patients wash their clothing with tap water at a rate of 52%, followed by tube well water at 21.27%, pond water at 20.45%, and river water at 5.52%. It is evident from this study that fungal diseases affect individuals of all ages, including men and women. An adverse finding of the research was that over forty percent of patients do not receive accurate instructions from their physicians, which raises the risk of drug resistance and further contamination.
Sciences of Pharmacy
Ayu Wulandari, Gita Chintya, Muthmainah Tuldjanah, Rezky Yanuarty
Cloves, scientifically known as Syzygium aromaticum L., hold promise as a potential antiulcer remedy due to their rich composition of compounds, including high levels of phenolic compounds such as eugenol, eugenol acetate, and gallic acid. To improve bioavailability in the gastric environment, this study focuses on optimizing and evaluating a swelling granule system derived from clove leaf extract. The granules were produced using wet granulation with Carbopol, HPMC, and their combination as polymer matrices. Results indicated favorable properties in the swelling granules, with the optimal composition of 210 mg Carbopol, 36 mg PVP, and 404 mg Avicel pH 101. These granules exhibited a uniform particle size distribution, with 90.1% below 149 µm and 9.9% distributed across mesh numbers 100, 80, and 40. The formula with Carbopol polymer showed superior flow rate, compressibility, and swelling capacity compared to other formulations. The interaction between Carbopol's C=O groups and HPMC's hydroxyl groups significantly influenced parameters, especially swelling capacity. Thus, when combining polymers, potential chemical or physical reactions should be considered. The wet granulation process effectively preserved secondary metabolite levels from clove leaf. Further tests are recommended to evaluate the granulation's effectiveness as a delivery system for clove leaf extract.
Sciences of Pharmacy
Yesi Desmiaty, Ni Made Dwi Sandhiutami, Fahleni Fahleni, Agnes Griselda, Amalia Zahra Apriliana
Agarwood leaves (Aquilaria malaccensis Lam.) contain chemical substances such as alkaloids, flavonoids, and triterpenoids that contribute to the healing process of burns. This study aims to evaluate the wound healing activity of spray-dried extract from agarwood leaves formulated into an ointment for second-degree burns. The method involves extracting agarwood leaves through the decoction method, followed by spray drying, and subsequent evaluation of the extract. The prepared extract was then formulated into an ointment and tested for wound healing activity on 24 white rats of the Sprague-Dawley strain, divided into four groups, each consisting of 6 rats: negative control (ointment base), positive control (Betadine®), formula 1 (agarwood leaves extract ointment with 20% extract concentration - ALO-20), and formula 2 (agarwood leaves extract ointment with 30% extract concentration - ALO-30). Second-degree burns were induced by exposing the rats' backs to ferrous metal for 3 seconds and treating them for 14 days. Observations were made by assessing changes in burn diameter and scab formation. In this study, ALO-30 demonstrated superior activity. Scab formation was faster on day 3, and the burn diameter was reduced by day 7. The results indicated that ALO-30 led to a quicker reduction in wound diameter compared to ALO-20 and the negative control. Agarwood leaves extract ointment with a concentration of 30% (ALO-30) exhibited a more effective wound healing effect than the ointment with a 20% concentration (ALO-20).
Sciences of Pharmacy

Rika Sari Dewi, Kristin Grave Gracia Saragih
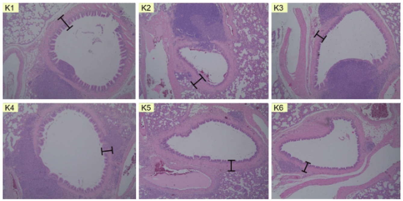
Ciplukan leaves contain alkaloid compounds and exhibit pharmacological activity as bronchodilators. Bronchodilators are utilized in chronic inflammatory respiratory conditions such as asthma, involving various cell types such as mast cells, eosinophils, and epithelial cells. The objective of this study was to evaluate the effectiveness of administering Ciplukan leaf infusion as a bronchodilator. A total of 24 Sprague Dawley rats were divided into 6 groups: normal control (K1), negative control (K2), positive control (K3), 200 mg/kg BW dose (K4), 400 mg/kg BW dose (K5), and 800 mg/kg BW dose (K6). On days 1 and 8, rats were sensitized with 0.35 mg OVA + 1 mg AlOH3 in 0.9% NaCl (i.p). On days 15, 17, and 19, rats were re-sensitized with inhaled OVA. From day 20 to 28, K1 and K2 received no treatment, K3 received 2 mL/day of salbutamol, and the dose groups were administered 2 mL/day of Ciplukan leaf infusion; all treatments were carried out simultaneously. On day 29, rats were dissected, and their lung organs were collected for histopathological preparation. Research findings revealed a reduction in bronchiolar epithelial thickness across groups in the following order: 495.05; 584.95; 334.69; 421.70; 482.81; 484.95 µm. The sequential lung eosinophil counts were 19; 44; 37; 23; 17; and 27, and mast cell counts were 9; 22; 13; 15; 13; and 7. Statistical analysis demonstrated significant differences at the 200 mg/kg BW dose for the parameters of bronchiolar epithelial thickness and eosinophil count, as well as significant differences in mast cell counts at the 800 mg/kg BW dose and negative control group.
Sciences of Pharmacy

Ivan Sergeevich Ivanov, Diana Alexandrovna Akhmedova, Yulia Anatolyevna Koroleva, Denis Olegovich Shatalov
Preservatives in eye drops, while not always necessary, can lead to undesirable effects. Developing preservative-free solutions demands special measures for sterility, utilizing multidose or monodose primary packaging. This review explores the merits and drawbacks of these packaging types. A literature search on PubMed, Google Scholar, and EMBASE until December 2023, using MESH terms, yielded 28 studies on multidose ampoules and 24 on monodose packaging. Heterogeneous data revealed advantages and disadvantages concerning patient use and manufacturing. Chronologically presenting the development of eye drop packaging, this study finds Droptainer® simple but unable to maintain sterility. Comod®, 3K®, ABAK®, Novelia®, and Ophthalmic Squeeze Dispenser show high sterility probability, with Comod® and ABAK® having a contamination risk. Novelia® excels with long-term sterility and better control. Ophthalmic Squeeze Dispenser, FDA-approved, boasts a smaller carbon footprint. Unit-dose systems preserve sterility and offer design flexibility. Proposing an alternative, blister technology maintains sterility, is convenient and safe, and holds promise for recycling. This comprehensive assessment aids in understanding the evolving landscape of eye drop packaging, emphasizing the importance of sterility, convenience, and environmental impact.
Sciences of Pharmacy
Sciences of Pharmacy (SciPhar) is an international, peer-reviewed open-access journal of pharmacy published by ETFLIN. We offer a platform and place for researchers and intellectuals, especially the youth, to share their insights and works. SciPhar accepts original article, reviews, mini-review, book-review, technical note, case report, case series, clinical trial, opinion/perspective, conference proceeding, and pictorial essay. Author may submit or suggest another type of scientific manuscript. Sciphar publishes 4 issues a year. Sciences of Pharmacy is affiliated with Faculty of Pharmacy, Universitas Islam Sultan Agung.